Mairhofer Franziska
Samstag, 20. Juli 2013
|
|
geschto di presentation isch suppo güit gong! di leit hom gilocht und es wor nt longweilig, se wor jo inso ziel. i glab insra presentation wor di nettigschte. schoude dass dei wöche schu umma isch. vlt binni is negschte jou nöemo. man hot viel noia leit kenngileang und man hotse ins herz gschlössn.LG Franzi
|
Mairhofer Franziska
Donnerstag, 18. Juli 2013
|
|
also i woas schu nimma wosn wiu heit olls gito hom.
ogiheb howwo mit den woswo giwelt hom tie, hoast wiu hom gimeg aussüichn wos wo fa di blecke nöemo mochn well. i hon mi nöemo ba di sql obfroung probiuscht hon mi obbo net wirklich ausgikennt, also honni af di rebecca giwoschtn. donna howwos mitnondo probiuscht obbo se isch a net wirklich gong also hot ins do herr otersen ols nöemo doklescht und donna ischs gong.
noumittoug hot donna di gonze gruppe an inso presentation fü mörgn giorbatn. und gipröp howwo a. mocht enk af an riesn gröesn lochonfoll bereit.
LG und viel Spaß Franzi xD
|
Gasser Rebecca
Donnerstag, 18. Juli 2013
|
|
Heute Vormittag durften wir alle selbstständig arbeiten. Zuerst haben ich und der Philipp noch ein Daupräparat von einem Bienenflügel angefertigt. das war auch sehr interessant den Flügel unter dem Mikroskop noch einmal anzuschauen. Anschließend haben die Franzi und ich eine Übung zu den SQL-Datenbanken gemacht. Allerdings brauchten wir dafür noch etwas Hilfe. Zum Abschluss haben wir alle zusammen eine Präsentation für den Abschluss vorbereitet. Wir hatten dabei alle sehr viel Spaß und haben viel gelacht.
Schöne Grüße Rebecca :-)
|
Matzoll Barbara
Donnerstag, 18. Juli 2013
|
|
Am heutigen Donnerstag des vierten Tages auf Schloss Rechtenthal konnten wir am Vormittag selbstorientiert arbeiten und zwar in folgenden Bereichen: Informatik, Biologie und Chemie.
In verschiedenen gemischten Gruppen bearbeiteten wir unterschiedliche Themen der Fachbereiche. Ich startete mit einem Versuch im Bereich der Chemie. Ich bereitete die Pollenanalyse an einem Industriehonig aus Österreich vor. Aus diesem Honig versuchten wir ein Dauerpräparat herzustellen, welches leider nicht gelungen ist. Glücklicherweise haben wir 4 Präparate vorbereitet und so blieb uns noch eines zum untersuchen. Nach einer halben Stunde Mikroskopieren und einigen kleinen Funden gaben wir schließlich auf. Nachdem die nächste Gruppe unser Präparat auch genauer unter die Lupe genommen hatte, fanden sie einen "SUPER-Pollen". Wir versuchten ein Foto davon zu machen, welches sich aber als knifflige Aufgabe gestaltete. Aber bis zum Schluss gelang es uns und das Resultat kann sich sehen lassen (siehe Bild Kiefer- und Löwenzahnpolle) Als ob wir noch nicht genug hatten, versuchten wir bei einem weiteren Versuch im Honig den Zucker nachzuweisen. Die übliche Methode, die mir auch schon bekannt war, da wir sie bereits in der Schule angewandt hatten, war mit Hilfe der Fehling-Lösung. Natürlich färbte sich die Mischung von blau auf orange, was bedeutet, dass die Reaktion positiv ausfiel. Mit Hilfe meines bereits gesammelten Wissens in der Schule versuchte ich diesen Versuch als Reaktion schriftlich festzuhalten. Anschließend vervollständigten wir noch unsere Unterlagen und beantworteten noch die restlichen SQL Aufgaben.
Das bereits am Montag begonnene Kurzreferat über unsre ausgedachte Frage, wo wir selbst Hypothesen dazu angestellt hatten, beendeten wir durch eine kleine Präsentation durch jede Gruppe am Nachmittag. Wir klärten auch noch wichtige Informationen über Bienen und deren Zuhause ab. Anschließend begannen wir mit der Abschlusspräsentation für den morgigen Tag. Die Vorbereitung zog sich hinaus und schließlich hatten wir eine Superidee, die wir nur noch verwirklichen mussten. Wir hoffen, dass es euch morgen gefallen wird und freuen uns auf ein zahlreiches Kommen.
LG Babsi 
|
Müller Benedikt
Donnerstag, 18. Juli 2013
|
|
Am Donnerstagmorgen war offiziell ein Informatik-Block angesetzt, jedoch wurde uns die Möglichkeit offen gehalten, beim Arbeiten eigene Schwerpunkte zu setzen und somit Arbeiten aus der Biologie, Chemie oder Informatik besonders zu vertiefen, wiederholen bzw. nachzuholen. So widmete ich mich der Pollenanalyse des Würzburger Frühlingshonigs und war stolz, als ich mit der Mikroskopkmera gute Fotos von Mais-, Buchen- oder auch Sauerklee-Pollen erzielen konnte. Auch optimierten und verbesserten wir am Morgen die am Montag begonnen Präsentationen, die wir am Nachmittag vorstellen sollten. Die Vorträge sollten einige selbst-etwickelten Fragestellungen an die Hobos-Datenbank mit Hilfe auf der Hobos-Website zugänglichen Statistiken zu beantworten.




|
Schönegger Loris
Donnerstag, 18. Juli 2013
|
|
Heute habenwireineHoniganalysedurchgeführt.WirhabendenHonitestetundeinePollenanalysedurchgeführt.DabeisindwirzuüberraschendenErkenntnisengekommen.AmNachmittagsindwiirdannnochindenKlettergartengegangen.
|
Fuchs Amelie
Donnerstag, 18. Juli 2013
|
|
Heute haben wir frei gearbeitet, dies bedeutet, dass wir uns selbst Aufgaben gesucht haben oder in der Mappe weitergearbeitet konnten. Ich habe mich zuerst nochmal für ein weiteres Präparat entschieden und darauf mit Bettina zusammen die Fehling-Probe ausgeführt, welche bei allen drei getesteten Honigen positiv ausgefallen ist. Schließlich haben wir uns einen kristallinen Honig unter dem Mikroskop angeschaut. Dann habe ich mit Barbara weiter an unserer Frage von Montagabend weitergearbeitet, welche wir heute noch der Gruppe vorstellen dürfen.
|
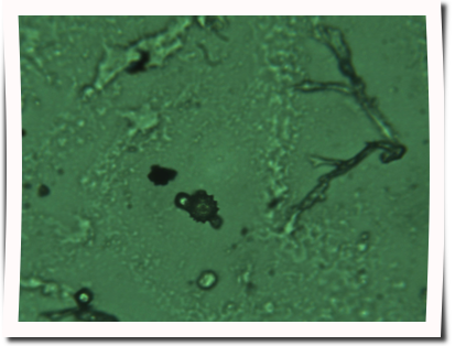
Oehrlein Niklas
Donnerstag, 18. Juli 2013
|
|
Nachdem wir uns an den Tagen zuvor mit Biologie und Informatik beschäftigt hatten, stiegen wir nun am Mittwoch mit einer Schicht Chemie in den Tag ein. Wir erprobten den Honig zunächst sensorisch (Geruch, Geschmack,...), wonach wir den Honig auf Leitfähigkeit und pH-Wert testeten. Nach Erledigung dessen, widmeten wir uns der Analyse der verschiedenen Pollen in den Honigsorten, welche wir dann unter dem Mikroskop betrachten konnten und so bestimmen konnten, was sich als sehr interessant und aufschussreich erwies. Durch diese Arbeit am Honig, der mir vorher eher nicht wirklich nahe lag, kam mir dieser um einiges näher und hat mich, durch die Vielzahl seiner Varianten, schon auch sehr fasziniert, weswegen ich auch in diesem Blog eine der tollen Aufnahmen veröffentlichen möchte. Am Nachmittag ging es dann zur "Entspannung" in den Klettergarten, wo sich alle austoben konnten, was auch mir sehr Spaß gemacht hat, da es mein erst zweiter Besuch in einem Klettergarten gewesen ist. Den Tag ließen wir dann mit einem spannenden Volleyball-Turnier am Abend ausklingen.
Mit freundlichen Grüßen,
Teilnehmer Niklas
(Bild: vermutlich Sauerklee-Polle)
|
Mapara Philipp
Donnerstag, 18. Juli 2013
|
|
Am Vormittag des dritten Tages beschäftigten wir uns zuerst mit der Analyse verschiedener Honigsorten, sowohl aus Südtirol als auch aus Deutschland. Dabei unterschieden sich die Honigsorten in der Farbe, im Geschmack und Geruch. Nun versuchten wir mit Hilfe von Arbeitsaufträgen, Pollen herauszufiltern, sie unter dem Mikroskop zu erkennen und schließlich zuzuordnen. Die Pollen unter dem Mikroskop zu entdecken war oft nicht leicht, jedoch konnten wir enige interessante Entdeckungen machen. Nach einer kurzen Stärkung machten wir uns mit dem Bus auf zum größten Klettergarten Südtirols. Nach anfänglichen Schwierigkeiten mit der Beschaffung eines Busses, gelangten wir zum Klettergelände und hatten die Möglichkeit, Parcours in Höhen von 1-20m zu meistern. Zwei Stunden später erreichten wir unsere Unterkunft und trugen am Abend ein Volleyballturnier aus. Damit beendeten wir einen spannenden und sportlichen Tag in Südtirol.
|
Vignolo Bettina
Mittwoch, 17. Juli 2013
|
|
Den Mittwoch begannen wir mit der chemischen Betrachtung fünf verschiedener Honigsorten. 2 auf Würzburg, 2 aus Südtirol und einer aus Österreich. Wir verglichen sie auf verschiedene Arten und später schauten wir uns auch die Pollen unter dem Mikroskop an.
Nach dem Mittagessen wurde unser Tag besonders sportlich, da wir sowohl klettern gegangen sind als auch Volleyball gespielt hatten.
Rückblickend betrachtet hat uns allen der heutige Tag sehr gefallen.
Liebe Grüße :)
|
Kategorie:
Sommerakademie 2013